To schedule a consultation appointment, you can contact the clinic by phone at 09-742-1111

Or leave your details and we will get back to you as soon as possible:

    About Me

    PhD, MSc, DMD, Specialist in Periodontology

    President of the Israeli Association of Periodontology
     
    Completed Dental Medicine Studies at Tel Aviv University

    Specialized in Periodontology and Implant Dentistry

    Head of the Periodontology Division at Beilinson Hospital

    Senior Lecturer at Tel Aviv University

    Awarded the 2024 Rector’s Excellence in Teaching Innovation & Creativity at Tel Aviv University

    Recommendations MedReviews

    Recommendations Google Reviews

     

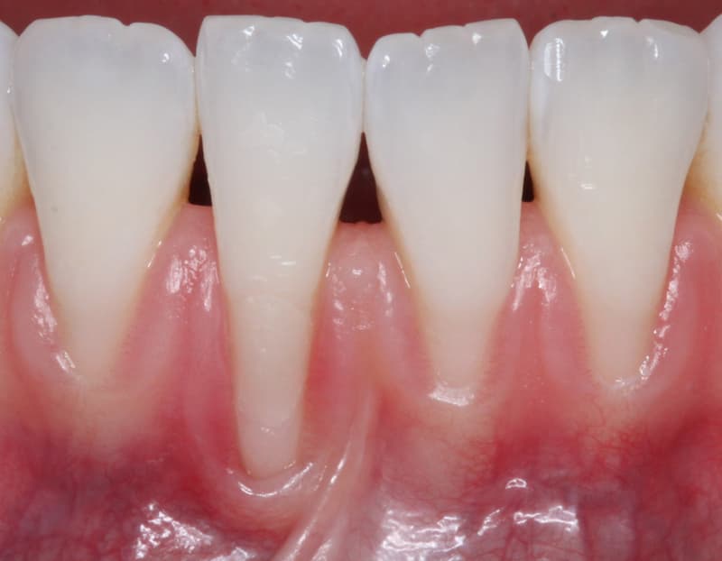
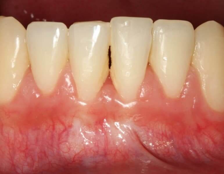
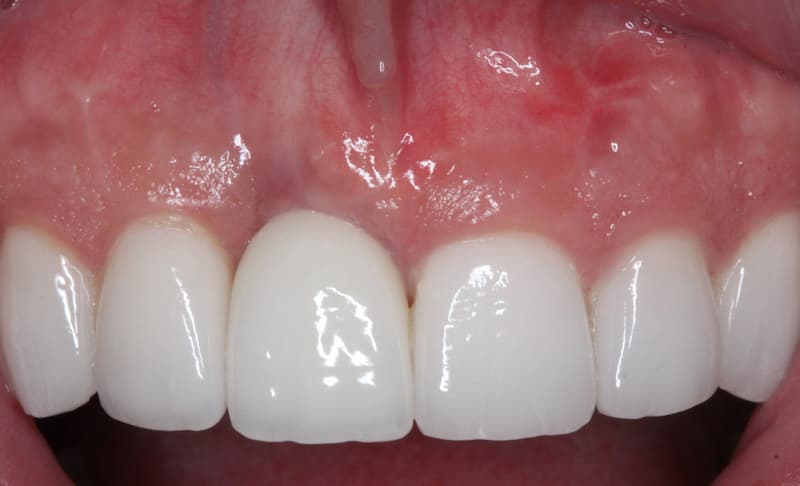
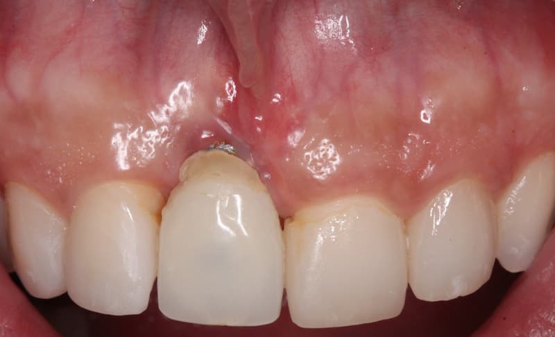
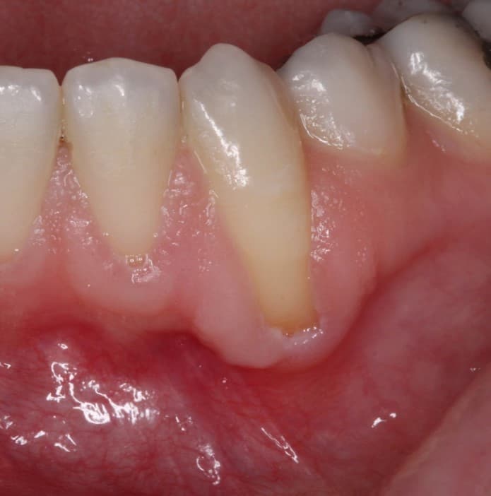
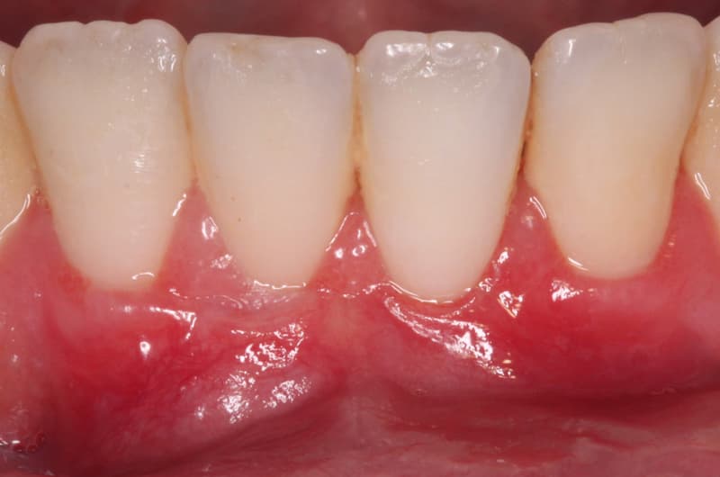
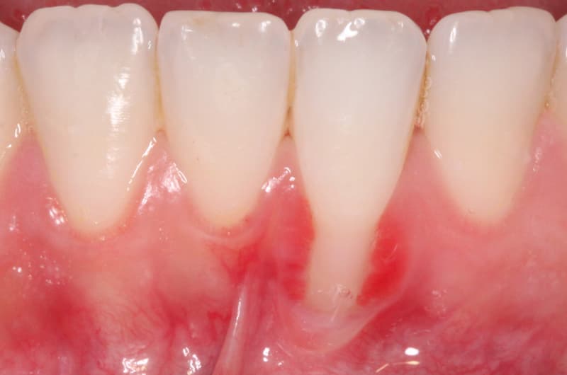
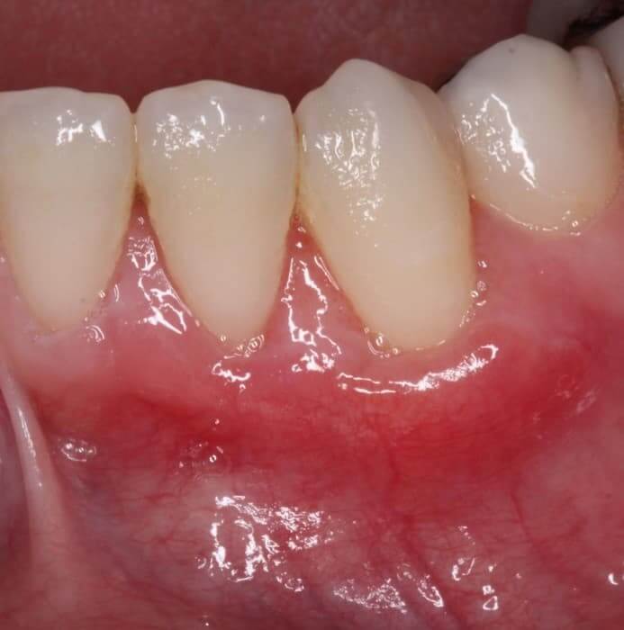
    Before and After

     

    "The most important thing in medicine
    is that the doctor and the patient
    are happy to see each other."

    Francis Peabody

    F&Q

    What is periodontal medicine and when is treatment needed?
    Periodontal medicine deals with the prevention, diagnosis and treatment of diseases of the tooth support system - the gums, bone and supporting ligaments. The need for treatment arises when there is bleeding from the gums, gum recession, bad breath, tooth looseness or pain. Early treatment is essential to prevent tooth loss and maintain oral and overall body health.
    What is the difference between regular cleaning and root planing?
    Regular teeth cleaning removes tartar and bacteria from above the gum line, while root planing is a deeper treatment performed below the gum line. In root planing, the root surfaces are cleaned of tartar, toxins and bacteria that have penetrated the deep pockets around the teeth. This is a necessary treatment for advanced gum disease, performed under local anesthesia to ensure complete patient comfort.
    Are dental implants suitable for everyone?
    Dental implants are suitable for most patients who have lost teeth, but require a comprehensive examination. Basic conditions include normal general health, sufficient bone quantity in the missing area, and healthy gums. In cases of bone deficiency, bone grafting or sinus lift can be performed before tooth implantation. Dr. Weinberg performs an individual assessment for each patient to determine the most appropriate treatment plan.
    How long does the dental implant process take?
    The dental implant process varies depending on the individual case. Typically, after implant placement in the jawbone, a healing period of 3-6 months is required for full integration of the implant with the bone. During this period the implant fuses with the bone in a process called osseointegration. After that, the final crown is mounted. In some cases, the tooth can be implanted immediately after extraction or a temporary tooth can be mounted during the healing period.
    Is dental implant placement painful?
    Dental implant placement is performed under complete local anesthesia, so the treatment itself is not painful. Most patients report mild to moderate discomfort after treatment, similar to that after tooth extraction. These pains are effectively treated with regular painkillers. In cases of anxiety or complex treatments, implantation can be performed under general anesthesia accompanied by a qualified anesthesiologist.
    What is gum grafting and when is it necessary?
    Gum grafting is a treatment to cover exposed tooth roots resulting from gum recession. The treatment involves taking tissue from another area in the oral cavity (usually from the palate) and grafting it to the receded area. Gum grafting is required when there is acute sensitivity to cold and heat, aesthetic damage to the smile, or concern about tooth loss due to advanced root exposure. The treatment improves the appearance of the gums and protects the tooth roots.
    What is sinus lift and when is it required?
    Sinus lift is a treatment to add bone in the posterior upper jaw area when there is not enough bone height for dental implants. The sinus cavity (the air space above the upper jaw) is too large and prevents safe implantation. In the treatment, the sinus membrane is gently lifted and bone is added beneath it to create sufficient bone height. After a healing period of several months, teeth can be implanted in the area in a stable and long-term manner.
    What does maintenance and preservation treatment include after periodontal treatments?
    Maintenance and preservation treatments are essential for maintaining treatment results over time. The treatments include periodic professional cleanings (usually every 3-6 months), follow-up examinations to monitor gum and tooth health, and guidance for maintaining optimal oral hygiene at home. The maintenance plan is personally tailored for each patient according to their periodontal condition, personal risk factors and treatments performed.
    Why is it beneficial to be treated by a specialist in periodontal medicine and implants?
    A specialist in periodontal medicine and implants has undergone advanced training of additional years beyond dental studies, and specializes in the most complex treatments. Dr. Weinberg, as chairman of the Israeli Society of Periodontology and head of the Periodontology Department at Beilinson, combines advanced clinical expertise with current academic and research knowledge. Treatment by a specialist ensures optimal results, reduced complications and tailored solutions for complex cases.
    How do you prepare for the first consultation appointment?
    For the consultation appointment, it is recommended to come with current X-ray images if available (not mandatory), a list of medications taken regularly, and details of existing medical problems. It is advisable to prepare questions in advance that are important to you and describe the complaints or problems you are experiencing. During the appointment, a comprehensive examination will be conducted, Dr. Weinberg will explain the diagnosis and offer a detailed treatment plan tailored to your specific situation. An appointment can be scheduled by phone at 09-7674881 or by leaving details on the website.